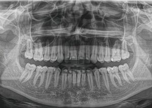
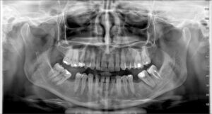
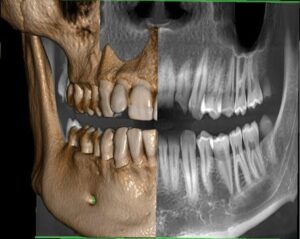
Fotografimi i dhëmbeve- Ortopani
- Rëntgeni Ortopan, mundëson identifikimin mjaftë të suksesshëm të dhëmbëve, të nofullës së poshtme dhe të sipërme, si dhe formacionet patologjike të kockave të nofullës.
- Karakteristika më e rëndësishme është zbulimi i të gjitha detajeve që janë të pamundur të vërehen përmes shikimit me sy si dhe kontribojnë në diagnostikimin dhe trajtimin e saktë nga mjeku.
- Për këtë arsye pas ekzaminimit të parë të pacinetit sipas kërkesave shërben si një prej metodave më të kërkuar në drejtim të përcaktimit të trajtimit.
Çmimi për Ortopan, komplet nofulla 10€
Çmimi për Ortopan, gjysma e nofullës 5€
Poliklinika MedicAL- Klinë
049888970


